Услуги и часто задаваемые вопросы

Что такое фарфоровая корона и мост

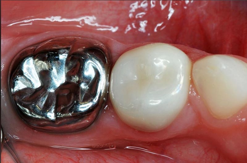
ФарфорКорона и мостэто корона и мост, что означает, что есть недостающий зуб, а два здоровых зуба до и после отсутствующего зуба используются для достижения фиксации. Восстановление фарфоромКороны и мостыПолем Мост короны похож на мост, с пирсом с обеих сторон и мостом в середине, но мост изготовлен из металлического основания, которое выпускается фарфором, образуя белый цвет и форму, который примерно такой же, как и естественный зуб, и выглядит как настоящий зуб. как зубы.

ФарфорКороны и мостыДолжен промахивать и сократить два прилегающих здоровых зубов недостающего зуба, чтобы достичь цели удержания, чтобы оказать определенное влияние на соседние зубы, и это единственный метод фиксации. Если пациент не хочет причинять повреждение соседних зубов, восстановление может быть завершено с помощью имплантатов.

Похожие новости
Оставьте мне сообщение
X
Мы используем файлы cookie, чтобы предложить вам лучший опыт просмотра, анализировать трафик сайта и персонализировать контент. Используя этот сайт, вы соглашаетесь на использование нами файлов cookie. политика конфиденциальности
Отклонять Принимать